23.07.2009 23:00

Елена Карпова об особенностях пластики «тяжелого лица»

Евгения Иванова

Мне никогда ранее не доводилось слышать, а уже тем более видеть так называемые «тяжелые лица». Скорее всего, о таком медицинском понятии не знаете и вы. Для пластического хирурга «тяжелое лицо» — всего лишь анатомическая особенность пациента, однако устранить ее сможет далеко не каждый. Посвятить этой теме отдельную статью меня заставил случай.

Моя знакомая Наталья давно осознала необходимость проведения фейслифтинга. Однако она была крайне удивлена, когда несколько хирургов отказали ей в проведении операции. Специалисты мотивировали свой отказ тем, что обычная подтяжка лица не даст того результата, о котором мечтает пациентка. Эффект обещали, но не разительный. «У Вас „тяжелое лицо“, здесь нужно что-то большее, чем фейслифтинг. К сожалению, помочь Вам вряд ли удастся», — таков был вердикт одного из столичных докторов.

Кто-то должен был помочь Наталье! И такой хирург нашелся. Елена Ивановна Карпова — ведущий специалист, работающий с так называемыми «тяжелыми лицами». Она любезно согласилась стать нашим проводником в закулисье пластической хирургии и поделилась секретами авторской методики, которая превращает «тяжелые лица» в объект восхищения и пристального внимания.

«Тяжелые лица»

Как правило, «тяжелые лица» — это признак не возрастных изменений, а анатомических особенностей строения лица. Его основными характеристиками являются: птоз, толстая кожа, выраженная подкожно-жировая клетчатка, нависание щечного валика и глубокие носогубные складки.

Сегодня существует немало способов разглаживания выраженных носогубных складок — это и контурная пластика, и липофилинг, и фейслифтинг. Контурная пластика предполагает введение инъекционных препаратов, которые лишь на время устраняют носогубную впадину. Практика показала, что и липофилинг не столь эффективен. Учитывая то, что до 70% введенного жира рассасывается, о высоких результатах говорить не приходится. Что касается фейслифтинга, то у него несколько иная направленность. Это, прежде всего, подтяжка мышц и кожи лица. Безусловно, глубина носогубных складок уменьшится, но даже SMAS не избавит вас от этих «бороздок». Что приходит на помощь, когда все перечисленные процедуры и операции остаются бессильны? Новая методика, о которой мы сейчас и поговорим.

«Тяжелые лица» — это признак не возрастных изменений, а анатомических особенностей строения лица

К Елене Ивановне часто приходят мужчины и женщины с «тяжелыми лицами». Кто-то приходит впервые, а кто-то после проведенной подтяжки лица. Основная жалоба этих пациентов — выраженная носогубная складка, от которой не избавил даже фейслифтинг. Специально для такой категории пациентов была разработана методика, позволяющая полностью устранить нависание щечного валика. В столичном регионе Елена Карпова — одна из немногих специалистов, которая в течение двух с половиной лет успешно применяет данную технику коррекции. В чем особенность этой методики?

— Особенность методики заключается в том, что мы воздействуем на более глубокие слои — SMAS, отслаивая кожу до носогубных складок. Избытки жира, которые имеются в области щечного валика, выделяются и подворачиваются под носогубную складку, в результате чего она полностью разглаживается. При необходимости в данную операцию включается техника коррекции фасции большой скуловой мышцы.

Методика «разворачивания и подкладывания» жира довольно сложная и требует глубокого знания анатомических особенностей строения лица. Теперь стало понятно, почему многие хирурги просто отказывали Наталье в проведении операции. Елена Ивановна после осмотра пациентки заметила, что это далеко не самый тяжелый случай, с которым ей приходилось сталкиваться.

Теперь подведем итог: выявим особенности методики, обозначим ее плюсы и минусы, поговорим о послеоперационной реабилитации.

Особенность методики

В процессе операции доктор выделяет, разворачивает и подкладывает жир из области щечного валика в зону носогубных складок.

Плюсы

Значительно сглаживаются носогубные складки, длительный эффект, не сравнимый с результатами филлеров и липофилинга.

Минусы

За счет широкой отслойки кожи возникают риски нарушения трофики тканей.

Послеоперационная реабилитация

Постоперационный период характеризуется более выраженной отечностью и продолжается 3—4 недели. Для более быстрого рубцевания рекомендуется проводить физиотерапевтические процедуры и принимать гомеопатические препараты. Первые результаты операции можно оценить уже через месяц, но итоговые — не ранее чем через полгода.

Так Наталья стала еще одной счастливой пациенткой Елены Карповой, которой только предстоит испытать на себе чудодейственность и эффективность методики «разворачивания и подкладывания» жира. Так уж сложилось, что доктор Карпова делает то, за что другие хирурги попросту не берутся. Наряду с «тяжелыми лицами» доктора отказывают в проведении этнической блефаропластики. И вот почему.

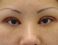
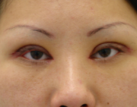
Монголоидный разрез глаз

Отличительной особенностью «восточного» разреза глаз является эпикантус и отсутствие естественной кожной складки, характерной для «европейских» глаз. Этническая блефаропластика, иначе — пластика восточных век, направлена на устранение этих типичных «азиатских» особенностей. Для многих восточных этнических групп блефаропластика стала проходным билетом в мир, где властвует европеец. Это своего рода способ «внешней» адаптации.

Чаще всего в России к данному типу коррекции прибегают выходцы из Средней Азии, Китая, Японии, Кореи, некоторые народности Дальнего Востока и даже представители кавказских национальностей.

Отличительной особенностью «восточного» разреза глаз является эпикантус и отсутствие естественной кожной складки, характерной для «европейских» глаз

— Монголоидное веко — это совершенно другая анатомия по сравнению с европейским строением. У представителей восточных народностей мы наблюдаем выраженную подкожно-жировую клетчатку, отсутствие характерной для европейца складки в области верхнего века и эпикантус. Создать верхнюю складку и устранить характерную «монгольскую» (т.е. эпикантус) — вот задача пластического хирурга.

Для удачного проведения пластики монголоидных век далеко не достаточно владения техникой стандартной блефаропластики. Помимо блестящего знания анатомии «восточной» окологлазничной области, необходим большой опыт проведения подобных коррекций. Этого Елене Карповой не занимать.

Несмотря на социальную роль, которую призвана выполнять этническая блефаропластика, доктор обозначила проблему, с которой так или иначе приходится сталкиваться пациентам, достигшим зрелого возраста. Эта проблема психологического характера.

— Изменяя разрез глаз, мы изменяем восприятие внешности в целом. Возрастные пациенты уже успели свыкнуться со своим монголоидным разрезом глаз, к ним привыкли их близкие — дети, мужья, братья и сестры. Порой резкая перемена во внешности становится причиной возникновения некоторого психологического дискомфорта. Если пациент готов противостоять внешним факторам и справиться с психологической проблемой, то ему можно проводить этническую блефаропластику. Эти моменты четко обговариваются во время консультации.

Особенность методики

Пластика «восточных» век направлена на изменение характерного для восточных этнических групп разреза глаз за счет создания складки в области верхних век и устранения эпикантуса.

Плюсы

Успешно проведенная операция позволяет легче адаптироваться в европейском обществе и примкнуть к нему.

Минусы

Остается открытым вопрос гармоничного сочетания «европейских» глаз и «восточного» носа.

Послеоперационная реабилитация

Более выраженная отечность. Если постоперационный процесс после стандартной блефаропластики длится 4—5 дней, то пластика «восточных» глаз требует более продолжительного периода — 7—10 дней.

Наш разговор с Еленой Карповой мог бы продолжиться, если бы не Наталья, окрыленная обещаниями хирурга. Ей не терпелось поскорее сдать все необходимые анализы и вступить в новую жизнь, оставив в прошлом свое «тяжелое лицо» с выраженными носогубными складками.

Читайте также

День, который изменил взгляд на жизнь Истории пациентов 01.12.2013

Комментарии