08.06.2009 23:00

New look aesthetic от Эльчина Мамедова

Евгения Иванова

Мамедов Эльчин Велиевич

Пластический хирург, доктор медицинских наук. Является ведущим в России пластический хирургом, проводящим комплексные эндоскопические фейслифтинги, где внедрил ряд авторских методик. Специалист по микрохирургии, черепно-челюстно-лицевой хирургии и эндоскопической пластической хирургии. Действительный член Общества пластических, реконструктивных и эстетических хирургов (ОПРЭХ), член европейской Ассоциации черепно-челюстно-лицевых хирургов. Автор трех патентов на изобретения и свыше сорока научных публикаций в области пластической, реконструктивной микрохирургии и краниофациальной хирургии. Оперирует на базе Центральной клинической больницы Управления делами Президента РФ.

Фразу «новый взгляд» каждый понимает по-своему. Литератор вспомнит о журнале с таким именем, поп-королева Мадонна скажет, что это ее философское воззрение, возникающее после посещения центра Каббалы, а бессменный редактор российского Vogue Эвелина Хромченко не преминет заявить о направлении The New Look от Dior.

Описывая время от времени новинки индустрии красоты и беседуя недавно с пластическим хирургом Эльчином Мамедовым о его новом подходе к омоложению не только век, но взгляда в целом, я подумала — а ведь это тоже The New Look. Причем «новый взгляд» и для женщины, которая получает гораздо больше, чем механическое удаление избытков кожи — предложение, которым изобилуют все медучреждения, где бы ни был свой эстет со скальпелем — но и «новый взгляд» на сам подход к хирургическому омоложению параорбитальной области. Простите за паранормальный язык, но по-другому не скажешь, ибо методика выходит за рамки тривиальной пластики век. Это действительно новшество.

 

«Мы можем выжимать из своей профессии больше, чем себе представляем. Я регулярно езжу в штаты изучать новое в пластической хирургии. На сегодня операции перестают быть изолированными. И я замечаю, что уже почти не использую в своей практике слово „блефаропластика“ — оно подразумевает для меня лишь часть работы, коррекцию только век. В то время как правильнее, эстетически выигрышнее делать комплексную операцию. Ремоделирование, омоложение окологлазничной области, гармонизация лица, new look aesthetic…», — подбирает определения своей работе доктор Мамедов.

Пластический хирург Эльчин Мамедов известен своими know how в эндоскопических лифтингах лица и шеи, а также тем, что этими самыми how владеет только он и никому не раскрывает секрета. Теперь именитый врач всматривается в глаза пациенткам и производит невероятные метаморфозы. На вопрос «Как?» хитрит и вспоминает слова метра отечественной пластической хирургии Евгения Лапутина: «Как? Неважно! Или вам не нравится то, что вы видите!?» Как в воду глядел почтенный Лапутин.

Перелистывая слайды с фотографиями пациенток ДО и ПОСЛЕ, становится понятным — Мамедов зрит в корень. И перво-наперво устраняет этот самый корень зла в виде анатомических погрешностей, возрастных опечаленностей и мимических досадностей, которые «везде, а не только на том месте, куда тени кладут».

В самом деле, «чикнуть» кожу на верхнем и нижнем веке — что может быть быстрее и проще!? Но это только заверщающий, да и то не всегда оправданный штрих, считает Мамедов, который любую свою операцию воспринимает как смену имиджа пациентки. «Омолодить — это половина дела. Важно создать запоминающийся образ, сделать выпуклым характер, открыть „новый взгляд“ на жизнь, если хотите», — говорит господин Мамедов.

Современные пациентки — женщины требовательные и пытливые. Они не лягут под нож хирурга, досконально не зная методики, по которой их будут оперировать. «Я могу им начать объяснять все тонкости, если попросят. Но обычно они видят мои работы, общаются с другими пациентками и приходят со словами — хочу вот так! Я объясняю на пальцах, как вижу их будущую внешность, и, что самое удивительное, — меня понимают! Я думаю, у каждой женщины есть четкое представление „себя в идеале“, и у меня есть тоже определенная картинка. Достаточно двух-трех минут, чтобы понять — да, видение совпадает! Остальное дело техники», — объясняет законы женской логики знаменитый хирург.

Палитра широка: он поднимает или опускает брови, проводит комплексную эндоскопическую подтяжку, иногда дополняет картину темпоропластикой (лифтинг височной области), моделирует по своему выражению «косточки», добавляет несколькими способами объем, восстанавливает запавшую складку верхнего века, наконец, удаляет грыжи и избытки кожи. Как это вырисовывается в единый сюжет и как хирургу удается доподлинно воссоздать образ, показанный прежде на пальцах, — он лукаво «сам не знает».

Поначалу я протестовал — как же, поработав хоть и с параорбитальной, но все-таки областью, можно сделать моложавым и интересным все лицо? Очевидно, одна блефаропластика в ее классическом исполнении попросту потеряется на увядшем лице.

Но в данном случае речь идет о комплексном моделировании, когда хирург в операции пытается сымитировать первоначальную анатомию. Глядя на фотографии пациенток, понимаешь: если театр начинается с вешалки, то красивое лицо — безусловно, со взгляда. Если сделать весь взгляд (веки, брови, виски, лоб, носослезные борозды и верхние части щек) привлекательным, он «поведет» за собой все остальное лицо. И даже само лицо иногда лучше оставить в покое.

«Было и остается мнение, что антивозрастные операции надо делать по-максимуму — с пластикой лица, шеи, веками… Это, во-первых, большой стресс для пациентки. А во-вторых, иногда действительно стоит лишь поменять акценты, выделить глаза, и все встанет на свои места. Нужно только это увидеть», — рассуждает Эльчин Мамедов. Действительно, лучше один раз увидеть.

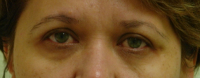
Комментарий доктора Мамедова: Мне было очень интересно работать с этой пациенткой — ранее она не делала пластических операций, а ее исходные данные позволили мне четко увидеть конечный результат, который, как мне кажется, удалось воплотить в жизнь. Я поднял уголки глаз и вернул запавшую складку века на то место, где она была 15 лет назад. Переместив ткани в верхней и нижней области, я скамуфлировал выпирающие надбровные дуги и западающую глазницу. Сделал верхнюю анкорную и нижнюю блефаропластики для удаления излишков кожи. Общий эффект омоложения придала эндоскопическая подтяжка окологлазничной области. Получился взгляд слегка удивленной, чарующей женщины.

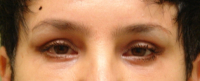
Комментарий доктора Мамедова: Это так называемые «печальные веки». При том что пациентке ранее была сделана верхняя блефаропластика, как видно, ситуацию она не спасла. Хвост брови был примерно на сантиметр ниже ее головки, в то время как по эстетическим нормам они должны быть на одном уровне. Западала складка верхнего века, налицо был межбровный спазм, который делал взгляд угрюмым. На нижнем веке четко прослеживалась углубленная V-образная борозда, придающая лицу усталый вид.

Поскольку верхняя блефаропластика была проведена до меня, то само верхнее веко я счел нецелесообразным «трогать». Я лишь слегка поднял лобную и височную области, а также ротировал наружный хвостик брови. Плюс, омолодил нижнее веко и увеличил проекцию подглазничной области. Я подумал, что этим зеленым глазам подойдет «обрамление» в форме слегка округленного миндального ореха — каков результат, видно на фото.

Комментарий доктора Мамедова: В этом случае пациентке 32 года — ничего критичного, кроме нависания кожи над верхними веками. Это достаточно молодая женщина, так что я не стал делать никаких наружных разрезов и вообще обошелся без блефаропластики. Нужна была имиджевая операция, и я выполнил эндоскопическую темпоропластику — лифтинг висков и углов глаз. Такие операции очень популярны в Голливуде. Они делают разрез глаз слегка раскосым, а сам взгляд — интригующим. Кроме того, с подъемом бровей и акцентом на глаза, лицо визуально становится более вытянутым, подчеркиваются подбородок и скулы — такая актриса прекрасно смотрится в кадре.

Комментарий доктора Мамедова: Здесь мы имеем генетически тяжелые веки, к тому же возраст наложил свой отпечаток. В таких случаях нужно мощнейшее омоложение — с блефаропластикой и комплексной эндоскопической подтяжкой параорбитальной области. Почти всегда такие операции идут вкупе с лифтингом лица и шеи. Я предупреждаю пациенток, что выглядеть они будут даже не так, как, скажем, 20 лет назад — а как никогда! В хорошем смысле слова… Спустя год после операции я спросил эту пациентку, приняла ли она до конца свою новую внешность, ответом мне было — к хорошему быстро привыкаешь.

Комментарий доктора Мамедова: Эта пациентка пришла ко мне с прооперированными несколько лет назад верхними и нижними веками. Прежняя блефаропластика оказалась не фанатичной — остались объемы, при этом не было грыж и существенного нависания век. Однако глаза, как говорится, «поплыли» — им нужно было дать жизни, «раскрыть», снова зажечь! За счет лифтинга окологлазничных краев мы получили ощутимый омолаживающий эффект. У этой женщины выразительный, глубокий, светящийся взгляд — ему нельзя было дать потухнуть.

Комментарий доктора Мамедова: Чаще всего в задачи пластического хирурга входит поднятие бровей — здесь их нужно было опустить. Плюс, я провел достаточно массированные нижнюю и верхнюю блефаропластики, сформировал новую складку верхнего века и прибавил объема под хвостиком брови за счет опущения и дублирования круговой мышцы глаза и анкорной верхней блефаропластики. В этой коррекции я задавался целью не только омолодить взгляд, но и сделать его более легким и женственным.

Комментарий доктора Мамедова: Это тот случай, когда пластическому хирургу можно развести руками. Пациентке была сделана блефаропластика, но спустя время взгляд осунулся, а веки запали. При этом после первой операции не осталось необходимых объемов тканей и кожи, чтобы сделать классическую коррекцию. Я не коснулся скальпелем кожи век, а лишь приподнял брови, выполнил эндоскопическую подтяжку окологлазничной области и кое-где добавил объема имплантатами.

 

К сожалению, законы природы невозможно отменить, и мы все стареем. В данном случае мы снова отодвинули стрелки часов на 10 лет назад, и уже с этой отправной точки наша пациентка проживет свой второй четвертый десяток лет.

Справка:

New look aesthetic от доктора Мамедова

Ремоделирование параорбитальной области лица

Анализы:

  • Общий анализ крови
  • Время свертываемости, время кровотечения
  • Анализ крови на RW, ВИЧ
  • Группа крови, резус-фактор
  • Биохимический анализ крови
  • Общий анализ мочи

Длительность

: от 20 минут до 2 часов в зависимости от объемов операции. При совмещении с лифтингом лица — от 3 до 5 часов.

Реабилитация:

нахождение в стационаре сутки-двое. Основные синяки и отеки сходят через 2 недели. Полная реабилитация занимает 2 недели — 1 месяц.

Противопоказания:

определяются на основе анализов и после консультации у профильных специалистов, а также у пластического хирурга и анестезиолога.

Читайте также

День, который изменил взгляд на жизнь Истории пациентов 01.12.2013

Комментарии